Local

‘It grabbed hold of my body.’ An inside look at Macon man’s battle with coronavirus.

It was an ordinary Monday evening.

Jordan Josey and his wife, Virginia, went for a walk with their springer spaniels, Penny and Ellie. Josey chatted with neighbors as they strolled through their north Macon neighborhood.

He felt fine.

“Business as usual,” he recalled.

He went to bed but then woke about 3 a.m. His legs quaked. He ached as if he’d been run over by a train. A 103-degree fever raged.

“I was shivering,” Jordan said. “It was like something had grabbed hold of my body.”

As he lay in bed in the predawn darkness of March 17, Josey feared the worst: “I think I have the coronavirus.”

Virginia and Jordan Josey outside their north Macon home earlier this week.
Virginia and Jordan Josey outside their north Macon home earlier this week. Jason Vorhees jvorhees@macon.com

Then, more dread. He had gone to work the day before.

Josey, 28, said to himself, “I could have given it to everybody in my law firm.”

All he could do at that hour was take Advil and, after his fever dipped, go back to sleep.

Josey, who has asthma, didn’t bother waking Virginia. As that St. Patrick’s Day Tuesday wore on, chest pain throttled up. Josey felt a piercing burn in his left lung. A dry cough kicked in.

“You feel like something is in your lungs,” he said. “You want to cough it out but nothing comes.”

He prayed not to cough.

“Because it felt like I was getting stabbed in the chest,” he said.

He took sips of air. Full breaths hurt too much. His cheeks glowed, as he put it, “beet-red.”

He called his office to warn the staff. His boss told him not to come in. Later, Josey phoned his doctor’s office and said he had COVID-19 symptoms. They said they weren’t seeing patients and that they didn’t have any tests.

“Call the health department,” they said. The health department, in turn, told him to call his doctor.

So he called an urgent-care clinic and was told he could be tested there if he met certain criteria, which included travel abroad or exposure to someone with the virus. Josey, who grew up around Spartanburg, South Carolina and graduated from Clemson University, had not left the country.

But on March 13, the Friday before he fell ill, he attended a Macon legal conference with a couple of dozen attorneys from across the region.

Though Josey couldn’t say for sure, with the coronavirus by then sweeping the state, he figured he contracted the disease at the meeting. Josey was going to drive himself to the clinic.

His wife, who he met while they were in law school at Mercer University, asked if he felt well enough.

He was, after all, short of breath. So she took the wheel. Josey rode shotgun.

“She was driving like a bat out of hell,” he said.

She told him she was just nervous.

So was he.

‘Like ... an alien movie’

At the clinic, Josey was tested for the flu and strep throat.

They listened to his lungs, but dismissed the likelihood of him having contracted the coronavirus.

In his head, Josey knew better.

He also had a laugh when he realized he had, unwittingly, worn a shirt with his firm’s logo on it to the appointment. The firm specializes in personal-injury and medical-malpractice cases.

In the end, he was told he didn’t meet the coronavirus testing requirements.

Besides, said the nurse practitioner he saw, Josey was too young.

Before leaving, he was diagnosed with bronchitis.

“Aren’t you glad you don’t have the coronavirus,” the nurse told Josey, half laughing.

Josey didn’t smile.

“How can you say that?” he asked. “You didn’t test me.”

The nurse told him to come back if he didn’t feel better.

Josey went home deflated.

“I kind of felt like I got the runaround,” he said.

Over the next few days, his shallow breathing grew worse. His chest felt like a war zone.

“Like something was wrapped around my heart,” Josey said.

If he stood up or so much as walked a few steps, his heart rate soared.

Almost any exertion sent freak, coursing pains that rendered him faint. When he could muster strength to trudge to the shower, he had to sit while he washed.

Jordan Josey, 28, first felt symptoms caused by the coronavirus on the morning of March 17. He sought help at a string of medical facilities in Macon.
Jordan Josey, 28, first felt symptoms caused by the coronavirus on the morning of March 17. He sought help at a string of medical facilities in Macon. Contributed photo

“I couldn’t stand,” he said. “It felt like in an Alien movie where the alien attaches on your body and it’s sucking all of your vital resources away.”

About three days into the illness, Josey’s wife got sick — high fever, muscle aches, searing leg cramps.

Josey said the leg cramps, which he too suffered, were brutal.

“So severe that you kind of just roll up in a ball,” he said.

Josey, a fairly regular tennis player who was once an avid runner, did his best to tend to Virginia.

He made her soup and took her water. Until he was knocked flat.

‘When is too late?’

Five days in, on Sunday, March 22, the Joseys were lying on their couch watching the rock-climbing documentary “Free Solo.”

Jordan Josey paused the movie in a panic.

He could barely breathe.

“Like there was an elephant sitting on my chest,” he said.

He staggered to bed and collapsed, trying to calm himself and steady his breathing.

He puffed his asthma inhaler.

Nothing helped.

He went back to the urgent-care clinic, where the same nurse was on duty.

The nurse gave Josey an “oh, man, you’re back” look.

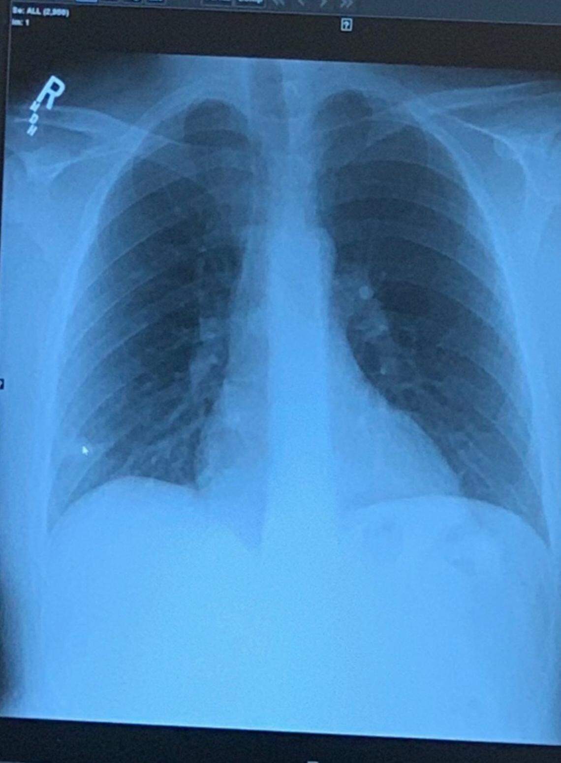
A chest X-ray showed that Josey’s right lung was partially collapsed.

Though he had tried to find out whether anyone at that legal conference the previous week had tested positive for the coronavirus, he wasn’t eligible for a test because he couldn’t be sure he had been exposed.

Instead, Josey was given a prescription for a stronger antibiotic.

“There’s no way I’m ever gonna get a test,” Josey said to himself. “I’m just hoping I can beat this on my own.”

He told himself that his next stop, if his condition didn’t improve, would be an emergency room.

It became a mind game: “How bad do I have to get? When is too early? When is too late?”

An X-ray image of Jordan Josey’s lungs shows his left lung, on right, partially collapsed. Josey, 28, first felt symptoms of the coronavirus on the morning of March 17. He sought help at a string of medical facilities in Macon.
An X-ray image of Jordan Josey’s lungs shows his left lung, on right, partially collapsed. Josey, 28, first felt symptoms of the coronavirus on the morning of March 17. He sought help at a string of medical facilities in Macon. Contributed photo

Back home from the clinic, Josey was wiped out.

He crashed in bed for a few hours. His family, which was beyond concerned, bombarded his phone with calls and messages.

But he couldn’t answer their questions. At that point, it hurt to talk.

His wife, Virginia, still ill herself but not with breathing problems, did her best to keep relatives informed.

As night fell on March 22, his grandfather in South Carolina, a physician, left a voicemail: “You have to go to the hospital!”

By about midnight, Josey went to the emergency room at a Macon hospital.

He doesn’t want to say which one because “I knew we were in a full-scale pandemic,” and in sharing his story he didn’t want to seem as if he were being critical.

“It just became abundantly clear,” he said, “that the testing criteria that was handed down from the state was to reserve tests only for the most critical or elderly.”

Still, he wondered, “Why not test me?”

He was clearly likely infected by the coronavirus.

Now his wife was sick.

And his coworkers, he feared, might be at risk from being around him in the hours before he was stricken with fever.

‘You’re scaring me’

At the hospital emergency room, Josey’s blood pressure and heart rate skyrocketed. Even so, his oxygen levels were OK. Barely. He was told that, yes, his lung was in distress and that he needed to do deep-breathing exercises to re-inflate it.

A doctor told Josey that he probably did have COVID-19, that his white blood count was low, that he had a viral infection. The doctor agreed to admit Josey to the hospital if Josey wished.

But after receiving a bag of IV fluids and some peace of mind, Josey chose to go home.

“I don’t need to be here,” he thought. “I’m young. At-risk people need to be here. I don’t want to take up a bed.”

On his way to his car in the parking lot, Josey could hardly walk. A wave of chest pain hit.

He thought hard about going back to the ER but instead headed home.

Over the next five or so days, the second full week of ailing, Josey would often wake up in the middle of the night drenched in sweat, breathing as though he had been sprinting.

Sometimes Virginia, frightened, would nudge him awake.

“Why’d you do that?” Josey would ask.

“Jordan,” she’d say, “you’re gasping. You’re making really weird sounds when you breathe, and you’re shaking. You’re scaring me and the dogs. Are you OK?”

“I’m breathing,” he’d answer. “I guess so.”

Then he would changed his sopping nightclothes and try to sleep.

‘This shouldn’t be happening’

Two nights after his trip to the emergency room, Josey had a nightmare.

“I was underwater,” he said, “and I was holding my breath. I knew I was about to run out of air, but I knew I was underwater and I couldn’t take a breath. Finally I just gave in and took a breath knowing it was gonna be a mouthful of water.”

In his dream, he took a desperate gulp.

“I woke myself up by the sound,” he said of the zombie-wheeze of air he sucked in. “I realized I wasn’t breathing during the dream.”

All he could think afterward while lying in bed was, “This shouldn’t be happening to me. I’m only 28 years old.”

Days dragged by. Josey tried to focus on work, but he passed much of the time staring at his bedroom walls and ceiling.

“You’re so sick,” he said, “you can’t even watch TV.”

The only thing that seemed help was not moving.

“No activity,” he said. “Stay horizontal.”

Uncertainty only made things worse. Did he have the coronavirus — or was it something else?

‘Turning a corner’

On March 25, Josey’s ninth day of sickness, his wife, Virginia, learned that someone at the legal conference Josey attended had tested positive for COVID-19.

The following day, his wife called her own doctor for an appointment to get a test for the virus.

She described her husband’s symptoms and asked if Josey could come too.

“Bring him,” they told her. “Right now.”

Josey described the exam room as “a battlefield operation” where the doctor and nurses were on point.

“Everybody there is in complete body suits, gloves, masks, face shields,” he said.

His wife’s symptoms had by then subsided, so she didn’t need a coronavirus test. The doctor did test Josey and she told Josey to keep an eye on his oxygen levels. She sent him home with a meter and promised to call each day to monitor him.

“It was like, ‘Finally, somebody is listening to me.’ ... I just felt better knowing I was gonna have somebody checking up on me,” Josey said.

That weekend, his fifth wedding anniversary, on what was to have been a celebratory trip to Chicago, Josey was home and, at last, seemingly on the mend.

He soon learned his coronavirus test was positive, a relief because by then 14 days had passed and none of the people he worked with had shown signs of illness.

For the first time in two weeks he had no severe shortness of breath.

The lightning bolts of pain that coursed through him when he moved faded.

“I might be turning a corner,” he thought. “I felt like for the first time it let go of my lungs. ... Like it was loosening its grip.”

Virginia and Jordan Josey outside their north Macon home earlier this week.
Virginia and Jordan Josey outside their north Macon home earlier this week. Jason Vorhees jvorhees@macon.com

He felt energetic enough to take his dogs outside and to roll his garbage cans back from the curb.

He soaked in a cool, late-March morning and, for the first time, he felt a sense of spiritual renewal.

Spring had arrived and he was on the mend.

“There were full leaves on the trees,” Josey said. “My azaleas were in bloom.”

He washed the pollen off his garbage bins.

“Look at me,” he thought, “I’m doing normal things.”

When he felt well enough, he posted much of his story on Facebook to warn others that the virus is no joke. The story was shared nearly 10,000 times and generated more than 1,300 comments.

One woman messaged him and wrote that her husband had gone to a hospital and been told nothing was wrong with him. Then his lungs filled with fluid and he died.

“Take all the warning signs seriously,” Josey said. “This will kill.”

As he spoke to a reporter by telephone for this story, he was still coughing about once every minute.

The day before Josey had hoofed up a flight of stairs and doubled over, exhausted.

“I feel like I’m building my lungs back from scratch,” he said.

Then he offered a warning to anyone who might doubt the seriousness of the disease.

“This is not hype,” Josey said. “This is a very real thing that is very dangerous. It grabbed ahold of my 28-year-old self and took me for a ride.”

Follow More of Our Reporting on Coronavirus in Georgia

Joe Kovac Jr.
The Telegraph
Joe Kovac Jr. writes about local news and features for The Telegraph, with an eye for human-interest stories. Joe is a Warner Robins native and graduate of Warner Robins High. He joined the Telegraph in 1991 after graduating from the University of Georgia. As a Pulliam Fellowship recipient in 1991, Joe worked for the Indianapolis News. His stories have appeared in the Washington Post, the Seattle Times and Atlanta Magazine. He has been a Livingston Award finalist and won numerous Georgia Press Association and Georgia Associated Press awards.
Get unlimited digital access
#ReadLocal

Try 1 month for $1

CLAIM OFFER